Skip to main navigation Skip to main content Skip to page footer

Tierärztliche Spezialistin
für Allergien,
Haut- und Ohrenkrankheiten

Leishmaniose: ein krankmachendes Urlaubsmitbringsel

Leishmaniose ist eine Erkrankung, welche durch den einzelligen Parasiten (Protozoon) Leishmania infantum ausgelöst wird. Übertragen wird dieser Erreger durch die Schmetterlingsmücke (Phlebotomus spp.). Diese Mücke lebt in den Mittelmeerländern, Portugal, West-, Ost- und Nord Afrika, im mittleren Osten, Indien und China. Daher infizieren sich die meisten Hunde in Deutschland beim Urlaub in den Mittelmeerländern, oder bringen die Erkrankung mit weil sie von dort mitgebracht wurden. Es treten jedoch immer mehr Fälle auch im südlichen Deutschland auf, ohne dass die betroffenen Tiere jemals in einer der obigen Gebiete waren. Es wurden schon die ersten Schmetterlingsmücken am südlichen Rein gefunden. Aufgrund des Klimawandels werden sich die Mücken wahrscheinlich noch weiter nach Norden ausbreiten. Leishmaniose kann beim Hund auch beim Geschlechtsakt übertragen werden, oder auch intrauterin von der Hündin auf die Welpen. Daher sollten Zuchttiere getestet werden. Ein weiterer Übertragungsweg ist durch Blutinfusionen.

 

Ist Leishmaniose ansteckend für Menschen?

Auch Menschen können an Leishmaniose erkranken, wenn auch viel seltener als Hunde. Menschen mit schwachem Immunsystem (z.B. Aidskranke) sind vor allem gefährdet.
Auch beim Menschen erfolgt die Übertragung durch die Schmetterlingsmücke.

 

Wie kann ich meinen Hund schützen?

Reist man mit Hund in den Lebensraum der Schmetterlingsmücke, so kann man ihn durch Antiparasitenmittel mit Repellens Effekt (z.B. Pyrethroide), sowie durch eine Impfung schützen. Die meisten Tiere werden Nachts gestochen, daher wird empfohlen Hunde bei Dämmerung und Dunkelheit im Haus zu halten. Jede dieser Maßnahmen für sich allein genommen bietet jedoch keinen 100 prozentigen Schutz, in Kombination lässt sich jedoch ein guter Schutz erreichen. Da die Mücken schlechte Flieger sind, findet man sie meist nicht an windigen Stränden.

Eine Besonderheit der Impfung ist, dass sie das Immunsystem der Hund resistenter gegen Leishmanien macht. Im ersten Jahr wird die Impfung drei mal wiederholt, muss daher 10 Wochen vor Reiseantritt begonnen werden. Dann wird jährlich 1 x nachgeimpft.

 

Woran erkennt man die Erkrankung?

Die Krankheitszeichen sind bei Leishmaniose sehr unterschiedlich, weil viele Organe betroffen sein können. Häufig ist die Haut betroffen. Es kann zu Haarlosigkeit, Schuppen, offenen Stellen, eitrigen Entzündungen oder Knoten kommen. Andere Symptome sind Gewichtsverlust, Appetitlosigkeit, geschwollene Lymphknoten. Auch Augenentzündung, Durchfall, Nasenbluten, Krallenprobleme, wechselnde Lahmheiten, Nieren- oder Leberversagen, sowie Blutarmut sind möglich.

Eine Besonderheit der Leishmaniose ist es, dass Ihr Ausbruch auch vom Typ des Immunsystems des einzelnen Hundes abhängt. Bei manchen Hunden tritt die Erkrankung relativ schnell nach der Infektion (Monate) auf, bei anderen erst nach Jahren, wenn deren Immunsystem anderweitig geschwächt wird. Daher gibt es in Ländern mit Leishmaniose eine 2 gipfelige Altersverteilung. Leishmaniose tritt hier bei jungen Tieren 1-2 Jahre und bei alten Tieren (älter als 6-7 Jahre) am häufigsten auf.

 

Wie kann Leishmaniose diagnostiziert werden?

Aufgrund der sehr unterschiedlichen Krankheitszeichen ist es teils schwer diese Erkrankung zu erkennen. Dem Tierarzt stehen verschiedene Tests zur Verfügung. Am sichersten ist es mehrere zu kombinieren.

z.B. Antikörpernachweis (IFAT, ELISA, PCR)
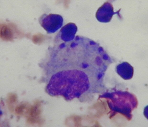
Zytologie von Milz, Knochenmark oder Lymphknoten, (Haut)
Stanzbiopsie der Haut
Serumelektrophorese

Durch umfangreiche Blut- und Urinuntersuchungen kann man andere Krankheiten, die ähnliche Symptome verursachen ausschließen. Und erkennen in wieweit die Organe schon durch die Leishmaniose geschädigt wurden.

 

Wie wird bei Leishmaniose behandelt?

Mit den zur Verfügung stehenden Medikamenten gelingt es meist nicht den Erreger vollständig aus dem Körper zu beseitigen. Es ist jedoch möglich ihn in seiner Zahl soweit zu vermindern, dass er das Tier nicht weiter krank macht. Dazu ist es manchmal notwendig die Medikamente lebenslang zu verabreichen. In regelmäßigen Abständen wird dann überprüft ob der Erreger wieder beginnt sich stärker im Körper zu vermehren. So konnte schon vielen Hunden dauerhaft geholfen werden.

Problematisch ist es wenn die Niere, Leber oder das Knochenmark durch die Erkrankung schon zu stark geschädigt wurden. Daher ist es wichtig Hunde vor der Erkrankung zu schützen und möglichst frühzeitig zu erkennen, ob sie infiziert wurden. Hierzu kann 3-6 Monate nach einem Urlaub oder Import das Blut untersucht werden.